DENTISTERIE ESTHÉTIQUE : LES COURONNES
Les couronnes sont utilisées pour protéger et renforcer une dent vivante ou dépulpée.
L'inlay-core est un tenon radiculaire qui permet de s’ancrer dans les racines dentaires et offrir un bon support à une couronne.
Pour évaluer et pouvoir juger du prix d'une couronne en céramique, il convient d'apprécier la technique d'empreinte, la couronne provisoire, le travail du prothésiste, les essayages, ainsi que le protocole de collage.
Cas 1 : 1 première prémolaire
Cas 2 : 4 incisives latérales et 2 canines
Un brossage agressif et le tabac sont à l’origine du désordre dentaire
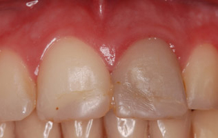
Cas 3 : 1 incisive centrale
Une copie de la dent symétrique permet une symétrie des deux incisives centrales
Cas 4 : Facette sur 1 incisive centrale Couronne + inlay-core céramisé sur l'incisive symétrique
Cas 5 : Combinaison de facettes + couronnes
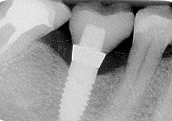
Cas 6 : 2 molaires et 1 prémolaire inférieure
Couronne et inlay-core sur dent + Couronne sur implant + Incrustation
Cas 7 : Couronne céramique + inlay-core céramisé
Cas 8: Différences entre une armature en zircone et une armature en Chrome-Cobalt
