DENTISTERIE ESTHÉTIQUE
Dentisterie esthétique
DENTISTERIE ESTHÉTIQUE : GOUTTIÈRE POUR BLANCHIMENT AMBULATOIRE
Dentisterie esthétique
DENTISTERIE ESTHÉTIQUE : FÊLURES ET FRACTURES DENTAIRES : CE QU'IL FAUT SAVOIR
Dentisterie esthétique
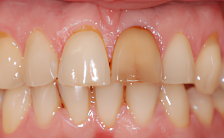
DENTISTERIE ESTHÉTIQUE : RÉHABILITATION TRADITIONNELLE NON IMPLANTAIRE
Dentisterie esthétique
DENTISTERIE ESTHÉTIQUE : GESTION ESTHÉTIQUE DE L'USURE DENTAIRE GÉNÉRALISÉE
Dentisterie esthétique
DENTISTERIE ESTHÉTIQUE : GESTION ESTHÉTIQUE ET NON DÉLABRANTE D'UNE USURE DENTAIRE LOCALISÉE
Dentisterie esthétique
DENTISTERIE ESTHÉTIQUE : LES COURONNES JUMELÉES ET LES BRIDGES DE CONTENTION
