DENTISTERIE ESTHÉTIQUE : LES ONLAYS
Les Onlays sont utilisés pour les recouvrements dentaires dans le sens vertical ou pour traiter une usure, une fêlure importante ou une fracture.
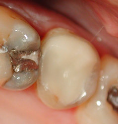
Cas 1 : 1 molaire supérieure - 1 séance de 75 minutes
Cas 2 : 1 molaire supérieure - 1 séance de 75 minutes
Cas 3 : Traitement préventif de fêlures importantes - 1 molaire supérieure - 1 séance de 75 minutes
Cas 4 : canine supérieure - 1 séance de 75 minutes
La canine supérieure joue un rôle important dans le guidage en latéralité des dents mandibulaires. Plus résistante que la résine et moins délabrante qu’une couronne, une incrustation céramique collée sur la face palatine vient favorablement restaurer la canine.
Cette technique permet également de restaurer une arcade dentaire complète lorsque l’arcade a subi une abrasion importante.
Cas 5 : Bruxisme et onlay
Le bruxisme est une abrasion régulière des dents la nuit et/ou le jour, de manière involontaire : les tissus dentaires s’usent et/ou se fracturent.
Les onlays de recouvrement en céramique collés sous digue offrent un traitement élégant et peu délabrant.
La digue permet un collage de qualité en raison de l’absence d’humidité.
Cas 6 : Onlay en prévention de la fracture
Un onlay collé au stade de la fissure permet d’écarter le risque de fracture et de perte de la dent à moyen terme.
