DENTISTERIE ESTHÉTIQUE : LES INLAYS ET LES INCRUSTATIONS
Les inlays en céramique (ou incrustations en céramique) permettent de restaurer les dents dont le délabrement est important et inesthétique.
L'inlay en céramique constitue un excellent compromis solidité/esthétique/respect des tissus dentaires de par sa nature céramique et la qualité de son collage.
L'inlay permet dans de nombreux cas sur dents vivantes d'éviter la couronne prothétiquecéramique qui nécessite le retrait complet de la coque d'émail de la dent dont la fonction première est de protéger la dent.
L'inlay ne reconstitue "que" ce qu'il manque de la dent.
- Cas 1 : 2 prémolaires inférieures - 1 séance de 90 minutes
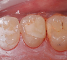
- Cas 2 : 1 prémolaire et 1 molaire supérieures - 1 séance de 90 minutes
- Cas 3 : 1 molaire inférieure - 1 séance de 75 minutes
- Cas 4 : 1 prémolaire supérieure - 1 séance de 75 minutes
La caméra fige la forme initiale de la dent pour reconstituer de manière identique la dent
- Cas 5 : 1 prémolaire de bridge - 1 séance de 90 minutes
- Cas 6 : 1 prémolaire supérieure - 1 séance de 90 minutes
- Cas 7 : canine supérieure - 1 séance de 75 minutes
La canine supérieure joue un rôle important dans le guidage en latéralité des dents mandibulaires. Plus résistante que la résine et moins délabrante qu’une couronne, une incrustation céramique collée sur la face palatine vient favorablement restaurer la canine.
Cette technique permet également de restaurer une arcade dentaire complète lorsque l’arcade a subi une abrasion importante.
