DENTISTERIE ESTHÉTIQUE : LES FACETTES
Les facettes permettent de choisir une forme et une teinte durables et de manière peu mutilante.
Cas 1 : 1 incisive latérale et 1 canine - 2 séances de 60 minutes la même journée
Cas 2 : 3 incisives - 2 séances de 75 minutes la même journée
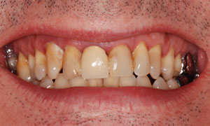
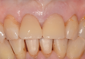
Cas 3 : Couronne toute céramique sur inlay-core céramisé et facette céramique sur deux incisives centrales chez un homme
La réalisation concomitante avec la même céramique usinée sur deux incisives centrales supérieures d’une couronne céramique sur dent dépulpée et d’une facette sur dent vivante permet d’optimiser le rendu esthétique du sourire
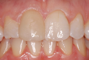
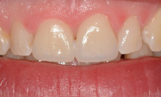
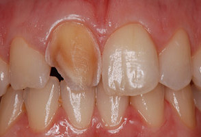
Cas 4 : 1 incisive centrale - 2 séances de 60 minutes la même journée
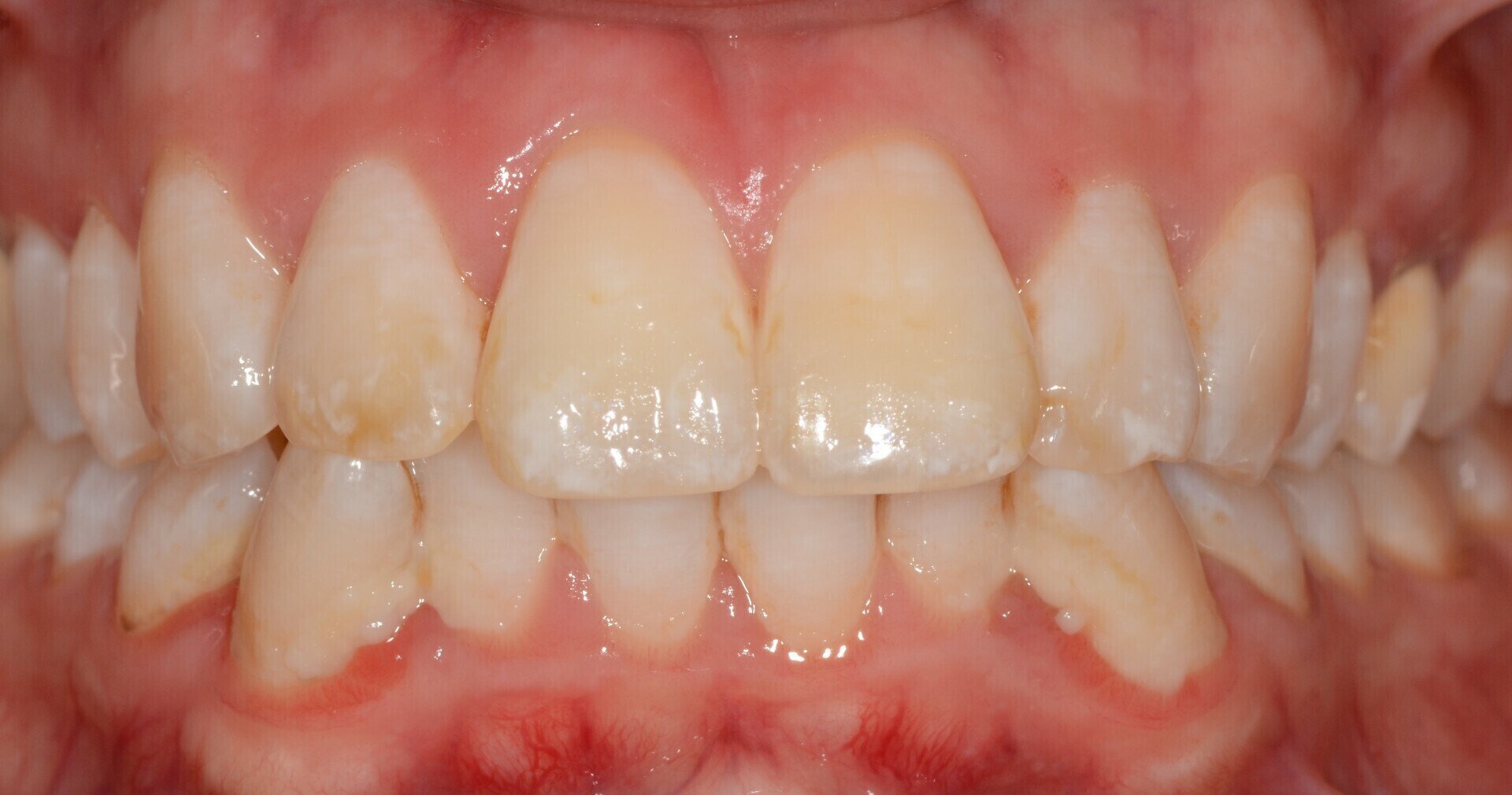
Une facette en céramique ne peut masquer intégralement une dent très teintée (ici orangée)
Cas 5 :Lorsque la dent support à restaurer est vivante et peu délabrée, la facette en céramique usinée puis collée permet un rendu esthétique très satisfaisant tout en évitant de tailler toute la périphérie de la dent pour une réaliser une couronne.
Cas 6 :
Cas 7 :
Cas 8 :
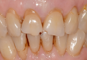
Les dents du secteur antérieur se chevauchent et 3 dents dévitalisées ont pris une teinte orangée. Le motif de la consultation est esthétique.
Les 4 facettes sont conçues, usinées et polies en 3 heures.
Collage des facettes. Les 4 facettes et le remodelage de la 12 ont évité l’orthodontie et la mutilation des dents en vue de la réalisation de couronnes périphériques complètes.
Cas 9 :
Cas 10 :
L’incisive centrale droite est mobile et disgracieuse. Les dents voisines du patient sont colorées et porteuses d’anciennes résines.
L’incisive latérale droite est porteuse d’un kyste important. Une maladie parodontale chronique généralisée génère des mobilités dentaires et des saignements gingivaux.
Le traitement parodontal non chirurgical a stabilisé la maladie parodontale et a permis la pose de deux implants en sites de deux incisives et de facettes sur les dents voisines.
Le patient a retrouvé l’esthétique de son sourire et le confort.
Cas 11 :
Une canine supérieure gauche dévitalisée depuis 30 ans s’est fortement teintée. L’anatomie de la racine de la dent rend périlleuse la préparation de la dent pour recevoir une couronne en céramique
Une facette améliore l’esthétique du sourire de la patiente sans fragiliser la dent.
Cas 12 :
Le cas est difficile car il est asymétrique : les 2 incisives maxillaire droites vont accueillir 2 facettes pour symétriser le sourire de la patiente.
2 jeux de facettes de deux teintes différentes sont usinées afin de choisir et coller le jeu le plus adapté en terme d’esthétique.
Un fin liseret de colorant bleuté a été déposé au bord incisif des deux facettes pour imiter le bord libre composé uniquement d’émail des incisives naturelles. Noter l’amélioration de la symétrie dans le sourire de la patiente.
Cas 13 :
Les 4 incisives maxillaires sont légèrement usées et portent des résines disgracieuses et changées régulièrement. La patiente souhaite un sourire agréable et plaisant en permanence.
Les 4 facettes sont posées en fin d’après-midi.
Cas 14 :
La jeune patiente est complexée par son sourire. La résine ancienne de l'incisive centrale droite est jaune et l'incisive latérale droite est très en retrait.
la facette épaisse collée sur l'incisive latérale donne l'illusion d'une position plus antérieure de la dent. Le complexe a disparu en grande partie.
Cas 15 :
Le bord incisif des deux incisives centrales s’est émoussé et est devenu coupant.
Deux facettes leur redonnent leur hauteur initiale et un aspect naturel.
Cas 16 :
La patiente est complexée car ses incisives et ses canines ont un aspect «usé et marbré». L’émail dysplasié sera en effet moins résistant que la normale lors de la préparation des facettes.
Les 6 facettes en céramique collées dans la journée ont redonné le sourire à la jeune patiente. L’harmonie avec les incisives et canines mandibulaires est satisfaisante.
Cas 17 :
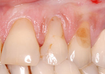
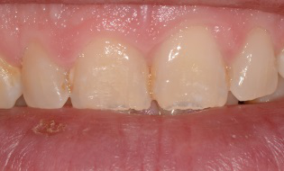
AVANT : l’incisive centrale gauche est teintée en orange-brun
PENDANT : il est préservé de l’émail pour réaliser un collage efficace
APRES : la céramique permet de masquer en très grande partie le support orangé
Cas 18
A l’issue de son traitement parodontal, le patient âgé de 60 ans souhaite modifier son sourire.
Il souhaite avoir des espaces interdentaires moins volumineux et avoir des dents du haut et du bas bien alignées.
Une maquette en cire sur des modèles ( WAX UP) permet de montrer le projet au patient et d’apporter des corrections si nécessaires.
Le projet en résine (MOCK UP) est appliqué sur les dents pour être validé une seconde f ois par le patient et pour servir de guide de préparation dentaire pour le praticien.
Les 8 facettes sont collées le surlendemain.
Les espaces interdentaires ont été fermés conformément au projet, tout en laissant un passage pour des brossettes interdentaires de taille inférieure. Les lignes interincisives coïncident dans le sens vertical conformément au projet et aux souhaits du patient.
Cas 19 :
Le patient a 52 ans et il s’est usé les dents avec une brosse-à-dent très dure. Il a pensé bien faire en buvant beaucoup de jus de citron et en se faisant des bains-de-bouche à la chlorhéxidine. Nous sommes face à une abrasion d’origine mécanique et chimique et à des colorations dentaires d’origine médicamenteuse.
Des images photographiques en 2D et des images en 3D ont été couplées pour concevoir la réhabilitation du sourire et la proposer au patient.
L’occlusion (rencontre des dents) est optimisée.
Résultat final.
A l’aide d’un jeu de maquettes et d’usinage, les restaurations respectent le projet initial.
Cas 20 :
Cette jeune patiente présente une hypoplasie de son émail avec des colorations oranges et blanchâtres.
Le projet est de réaliser des facettes sur les 6 dents maxillaires antérieures, de canine à canine.
Résultat 1 mois après la pose des facettes. De très légères colorations ont été apportées pour respecter le sourire de la patiente.
Le sourire est naturel et agréable.
