IMPLANTOLOGIE : CAS COMBINÉS AVEC L'ORTHODONTIE
Cas n°1
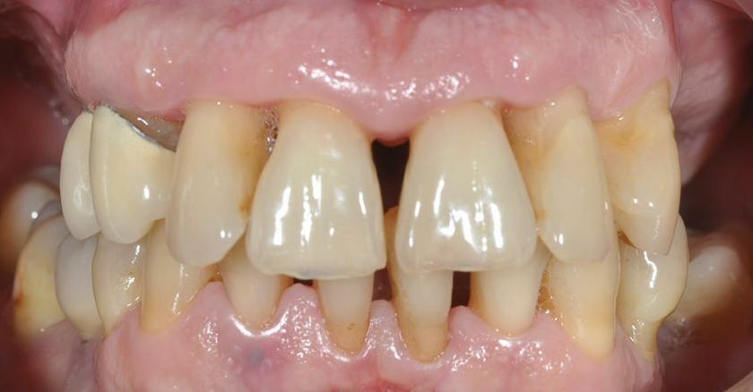
Une maladie parodontale agressive a fait perdre plusieurs dents postérieures au maxillaire à ce patient de 53 ans, ancien fumeur.
7 implants sont posés au moyen de deux comblements sinusiens après le traitement parodontal et avant le traitement d’orthodontie (Dr Charles GRAINDORGE).
Des brackets sont collés sur les dents naturelles antérieures.
Les implants vont permettre une traction des dents vers l’arrière et fermer les espaces réés par la maladie parodontale.
En fin de traitement d’orthodontie, les 7 implants recevront 7 couronnes pour réhabiliter ce patient et lui redonner une fonction et une esthétique confortables.
Le cabinet ZEN a réalisé une attelle en résine fibrée pour contenir les dents du bloc antérieur maxillaire. Le patient passe ses brossettes après chaque repas en se référant à son brossettogramme.
Le patient a retrouvé ses fonctions : son mastication, son élocution et son sourire.
3 couronnes jumelées Full Zircone à droite et 4 couronnes à gauche relient les 7 implants maxillaires.
Cas n°2
AVANT
Ce patient de 49 ans souhaite ne plus porter de prothèses amovibles. Ses molaires maxillaires ont migré vers le bas et son incisive latérale gauche est en inversé d’occlusion.
APRES
L’orthodontie du Dr Charles GRAINDORGE a permis de corriger la migration des prémolaires maxillaires droites et l’inversé d’occlusion antérieur.
AVANT
Une préparation parodontale s’avère nécessaire pour permettre l’orthodontie.
APRES
La gencive est en parfaite santé et le sourire est satisfaisant.
AVANT
Le cliché panoramique initial montre de nombreuses infections dentaires et un polype dans le sinus maxillaire gauche. Une première prothèse amovible venait remplacer deux molaires au maxillaire gauche et une seconde une prémolaire et deux molaires à la mandibule droite.
APRES
Deux comblements sinusiens droit et gauche ont permis de poser des implants au maxillaire. Les courbes occlusales ont été corrigées et le patient ne porte plus de prothèses amovibles. Le traitement complet a duré deux ans.
