IMPLANTOLOGIE: EXTRACTION-IMPLANTATION IMMÉDIATE
- Cas 1 :
L'ncisive centrale de gauche migre inexorablement vers l'avant. Un traitement orthodontique n'est pas envisageable. Une extraction-implantation immédiate est décidée.
Une couronne provisoire courte (pour ne pas travailler avec les dents mandibulaires et pour laisser l'os se souder à l'implant) est vissée dans l'implant pendant 6 mois.
La couronne d'usage sur implant vient redonner une esthétique et un confort satisfaisants.
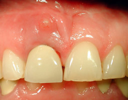
- Cas 2:
Une canine fracturée doit être extraite et réhabilitée par un implant.
La technique CEREC permet de concevoir une couronne provisoire en céramique dans la journée.
La couronne provisoire Cerec est réglée plus courte pour favoriser l’ostéointégration de l’implant. La patiente ne portera pas de prothèse amovible pendant la période d’ostéointégration.
La couronne d’usage Cerec transvissée est en place et en fonction.
- Cas 3:
Une couronne provisoire courte a été demandée par le patient. Le patient avait été informé du taux d'échec supérieur de cette technique.
La racine fracturée n'a pas engendré d'infection importante de l'os puisque l'infection a pu s'écouler par la fistule. L'implant immédiat et une couronne provisoire immédiate courte ont pu être proposés à la patiente.
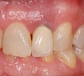
- Cas 5:
AVANT: Le tenon de l'ancienne couronne a fracturé la racine de l'incisive latérale
AVANT: La fracture de la racine est visible à l'oeil nu
La couronne provisoire est confectionnée grâce à une empreinte immédiatement après l'extraction-implantation
Le PRF a permis une bonne cicatrisation des tissus osseux et gingivaux. La couronne provisoire ne doit pas "travailler" avec les dents du bas. La couronne d'usage en céramique sera conctionnée dans 4 à 5 mois.
- Cas 6: Couronne provisoire immédiate
L’orthodontie a permis d’ouvrir un espace réduit et de poser un implant en site de la canine. La canine naturelle est absente depuis de nombreuses années.
Après la pose de l’implant, une empreinte est réalisée. La couronne provisoire est vissée 48 heures après.
La couronne provisoire doit être plus courte pour laisser l’ostéointégration de l’implant s’effectuer. La canine ne doit pas « travailler » et ne pas guider les mouvements de latéralité pendant 5 mois.
- Cas 7 :
La racine de l'incisive centrale est fracturée. Le cliché 3D indique l'axe à respecter lors de l'implantation grâce au logiciel de simulation
Aspect 5 jours après l'extraction-implantation immédiate
Aspect gingival à 5 jours post-opératoires
Aspect esthétique de la couronne provisoire en résine
Couronne provisoire à transvisser dans l'implant
- Cas 8 :
La radiographie 2D montre une racine de prémolaire très délabrée et impossible à exploiter pour confectionner une nouvelle couronne. L’os n’est pas infecté et peut accueillir favorablement un implant endo-osseux.
La radiographie 3D pré-opératoire montre les volumes osseux et l’axe implantaire est déterminé.
La radiographie 3D post-opératoire montre l’implant en place les volumes osseux. Un guide chirurgical à appui dentaire a été utilisé.
L’implant est enfoui et les tissus gingivaux sont plaqués avec des sutures. L’implant sera exploité dans 6 mois pour confectionner la couronne.
