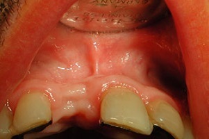
IMPLANTOLOGIE: GREFFE CONJONCTIVE ENFOUIE LORS D’UNE IMPLANTATION
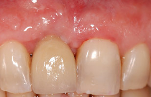
- Cas 1:
Dans une volonté de discrétion et de naturel, le patient a demandé que la couronne sur implant soit aussi jaune que la dent naturelle remplacée
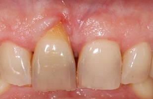
- Cas 2:
Dans une volonté de discrétion et de naturel, le patient a demandé que la couronne sur implant soit aussi jaune que la dent naturelle remplacée
Vidéo en cours de lecture
