IMPLANTOLOGIE: L'ÉLARGISSEMENT DE CRÊTE OSSEUSE : LA RÉGÉNÉRATION OSSEUSE GUIDÉE (R.O.G.)
- Cas 1: La Régénération Osseuse Guidée (R.O.G)
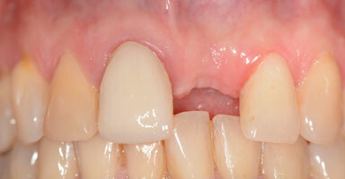
L’incisive centrale gauche est manquante. Son extraction associée à l’exérèse d’un kyste à créé un défaut osseux important empêchant la pose d’un implant dans un axe idéal.
La simulation implantaire montre la nécessité d’apporter de la poudre d’os sur la face externe du site à implanter.
Après l’implantation associée à une régénération osseuse guidée, la patiente a porté une gouttière à appui dentaire afin de laisser le site sans pression mécanique.
Site avant l’intervention
Site en fin de traitement
- Cas 2: L'élargissement de la crête osseuse permet de placer un implant du bon diamètre dans le bon axe
- Cas 3: L'élargissement de la crête osseuse permet de placer un implant du bon diamètre dans le bon axe
Le patient présente un inversé d'occlusion en raison d'un menton placé en avant. La moustache vient masquer ce rapport disgracieux.
Les dents prothétiques de la prothèse amovible maxillaire sont à l’intérieur des dents naturelles mandibulaires.
La combinaison de couronnes à la mandibule et d'une greffe osseuse du prémaxillaire a permis de placer des implants dans une position permettant de corriger l'inversé d'occlusion.
- Cas 4
La patiente vient de perdre son incisive latérale supérieure gauche et va perdre rapidement celle de droite.
Une extraction/implantation immédiate est proposée à droite pour gagner du temps et une Régénération Osseuse Guidée est proposée à gauche pour gonfler le volume osseux perdu et accueillir favorablement un implant. Une couronne provisoire immédiate est proposée de chaque côté.
En site 22, les deux «punaises» en titane servant à fixer la membrane sont visibles à la radiologie de chaque côté de l’implant.
Le sourire est restauré.
Les volumes osseux et gingivaux sont satisfaisants, tout comme l’aspect général du sourire de la patiente.
- Cas 5
Les 4 vues montrent que la crête osseuse est trop fine pour accueillir des implants cylindriques.
L’implant simulé en rose déborderait de la crête.
Les 4 vues montrent le résultat du splitting.
L’implant vissé est recouvert d’os. Une vis d’ostéosynthèse vient coffrer plaquer le fragment osseux contre l’implant pour « coffrer » l’implant.
- Cas 6
Une coupe horizontale et une simulation 3D montre la position idéale de l’implant (en jaune) et le volume minimal de tissu osseux à apporter pour envelopper le futur implant remplaçant une incisive centrale. Le cliché montre une atteinte parodontale en cours de guérison derrière l’autre incisive centrale (en noir) et un canal naso-palatin très large (en noir aussi) entre les deux incisives.
L’image 3D post-opératoire montre l’implant et le volume osseux généré par la ROG. Un anti-inflammatoire est prescrit pendant 5 jours après ce type d’intervention.
- Cas 7: Splitting secteur 2
Des extractions très anciennes et la mastication pendant de nombreuses années sur la gencive a entrainé un effondrement des crêtes osseuses dans le sens horizontal.
Le cliché en 3D montre la finesse de la crête osseuse en zone prémolaire.
Le guide chirurgical à appui dentaire nous permet de placer 3 implants avec une précision de 1 mm dans les 3 directions de l’espace.
Le trait d’incision osseux au piézotome (ultra-sons) est réalisé tout en respectant le sinus maxillaire.
Les fragments sont écartés pour élargir la crête osseuse.
Le guide chirurgical est placé sur les dents naturelles pour guider la pose des implants.
Les implants sont vissés et de la poudre d’os stérile d’origine humaine va venir combler les brèches (vide entre les fragments et les implants.)
Une membrane d’origine porcine est cloutée et suturée pour stabiliser la greffe osseuse.
La gencive est suturée de manière étanche.
Le cliché post-opératoire en 3D montre le gain osseux réalisé et le bon positionnement des 3 implants.
