IMPLANTOLOGIE: LE COMBLEMENT SINUSIEN MAXILLAIRE
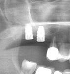
- Cas 1: Le comblement sinusien maxillaire consiste à créer un volume osseux dans le sinus maxillaire pour y ancrer des implants.
Une poudre d’os est placée pour combler le sinus maxillaire et permettre la pose d’implants.
Des membranes de PRF sont placées pour épaissir la muqueuse sinusienne et refermer la fenêtre et recouvrir les implants enfouis. Après l’extraction des prémolaires et molaires maxillaires, un comblement sinusien est nécessaire une fois sur deux pour poser des implants de 10 mm de longueur.
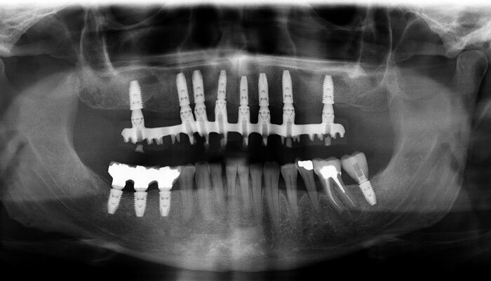
- Cas 2: vues panoramiques
AVANT REHABILITATION
PENDANT REHABILITATION 3 SECTEURS MOLAIRES
APRES REHABILITATION 3 SECTEURS MOLAIRES
- Cas 3: Intérêt du comblement sinusien dans l'édentement unitaire
- Cas 4: Intérêt du comblement sinusien dans l'édentement plural
- Cas 5: Intérêt du comblement sinusien dans l'édentement complet
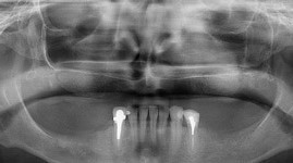
- Cas 6: Greffe du sinus
AVANT : la maladie parodontale a entraîné la perte de toutes les dents maxillaires
APRES : la greffe des deux sinus maxillaires a permis au patient de bénéficier d’une solution FIXE sur 8 implants.
