IMPLANTOLOGIE: LES BRIDGES FIXES COMPLETS AU MAXILLAIRE
- Cas 1: 7 implants ont été placés grâce à un guide chirurgical et le bridge provisoire en résine a pu être placé 48 heures après la pose des implants. Le bridge d'usage en céramique a été placé 6 mois après la pose du bridge provisoire.
- Cas 2: Bridge complet maxillaire sur 8 implants
- Cas 3: 10 implants ont été posés grâce à un guide chirurgical donnant une précision d'environ 1 millimètre dans les 3 sens de l'espace. Le bridge à finition résine sur armature métallique est fixe, transvissé et démontable et présente une fausse gencive qui masque l'effondrement des tissus.
- Cas 4: 1 bridge céramique a été scellé sur 6 implants antérieurs.
- Cas 5 : Bridge provisoire vissé sur 8 implants maxillaires 4 jours après la pose des implants
- Cas 6 :
- Cas 7 :
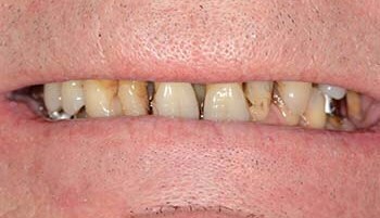
Le patient est atteint d’une maladie parodontale agressive. Les dents maxillaires sont perdues. Le patient souhaite une solution fixe. Les sini maxillaires sont volumineux
Les dents maxillaires sont extraites. Le patient porte une prothèse complète amovible au maxillaire le temps de la cicatrisation et des comblements sinusiens.
Le patient juge sa prothèse amovible complète inconfortable et inesthétique et confirme son choix d’une solution fixe à l’aide d’un bridge complet transvissé sur 8 implants.
Un guide chirurgical sur mesure va permettre une pose précise de 8 implants 6 mois après le comblement des deux sini maxillaires
Les 8 implants sont posés et l’armature du bridge provisoire est visible sur le cliché panoramique.
Le bridge provisoire est posé 5 jours après la pose des implants.
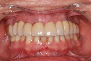
Le bridge d’usage est posé 6 mois après le bridge provisoire. L’esthétique et l’entretien du bridge sont optimisés.
- Cas 8 :
Cette patiente de 72 ans présente des descellements chroniques de ses couronnes maxillaires et deux implants postérieurs ont perdu de l’ancrage osseux en raison d’un péri-implantite. Décision est prise d‘opter pour un bridge complet maxillaire au moyen d’un comblement sinusien maxillaire gauche.
Le projet en 3D permet de concevoir un guide chirugical à appui dentaire avec deux clavettes de stabilisation.
Le guide chirurgical permet de placer les implants.
Le bridge provisoire (juste avant la confection du bridge d’usage).
Le bridge provisoire (vue du sourire)
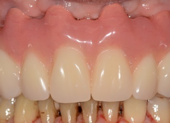
La gencive est parfaitement saine au moment de la confection du bridge d’usage.
Le bridge d’usage en zircone est usiné après essayage d’une maquette esthétique.
L’ajustage du bridge d’usage sur les piliers est contrôlé sur un cliché panoramique.
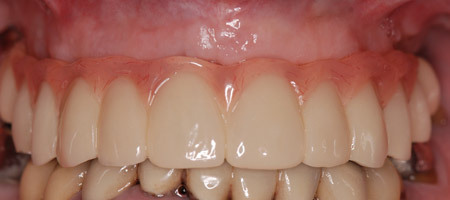
Vue externe du bridge d’usage au repos.
Aspect intra-oral du bridge d’usage. Le passage des brossettes est vérifié et un brossettogramme est remis à la patiente.
- Cas 9 :
Ce patient de 62 ans présente deux grands bridges maxillaires. Celui de droite présente trois défauts : deux piliers (17 et 11) sont perdus et l’esthétique des racines des dents antérieures est peu satisfaisante.
Les racines des dents antérieures son très brunes du fait de l’ancienneté de leur dévitalisation.
Décision est prise de passer au bridge complet sur implant maxillaire avec une PAT transitoire pour laisser l’os maxillaire bien cicatriser avant la pose des implants. Un bridge provisoire fixe sera confectionné le jour de la pose des 6 implants, pose réalisée au moyen d’un guide chirurgical et de 4 clavettes.
Positionnement du guide « base ».
Les 6 implants sont posés grâce au guide chirurgical ans décollement des muqueuses, ce qui améliore beaucoup les suites opératoires.
Aspect du bridge provisoire juste avant de confectionner le bridge d‘usage.
Aspect du bridge d’usage en zircone avant vissage.
Contrôle de l’ajustage du bridge d’usage sur les piliers.
Vue intraorale du bridge d‘usage en zircone avec contrôle du passage des brossettes. Les implants mandibulaires postérieurs sont prévus à court terme pour équilibrer l’occlusion.
Vue satisfaisante du sourire du patient.
