IMPLANTOLOGIE : LES BRIDGES FIXES COMPLETS MANDIBULAIRES
- Cas 1:
Cette patiente de 59 ans a du mal à sourire lorsqu’elle vient consulter la première fois. Elle présente des douleurs dentaires et veut « faire quelque chose ».
Ses malpositions dentaires (malocclusion) la gêne dans ses mouvements et dans son sourire.
Sa panoramique dentaire révèle une parodontite avancée et les extractions multiples s’imposent rapidement après quelques explications. Les extractions seront suivies immédiatement par la pose d’une prothèse amovible au maxillaire et d’un bridge fixe complet provisoire à la mandibule.
Un guide chirurgical permet la pose des implants le jour des extractions.
Le bridge provisoire en PMMA (plexiglas) est confectionné dans la foulée.
Aspect du bridge provisoire au bout de quelques mois. La ligne inter-incisive sera mieux placée au moment de la confection du bridge d’usage.
Différences de forme et de composition du bridge provisoire (en haut de la photo ) et d’usage (en bas de la photo).
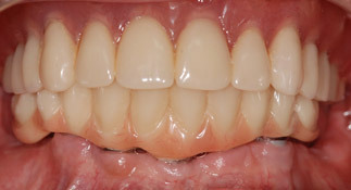
Vue intra-orale de la prothèse amovible maxillaire d’usage et du bridge fixe sur implants mandibulaire d’usage.
Sourire bouche fermée.
Sourire bouche ouverte. La patiente n’a plus de douleurs et sourit facilement dorénavant.
- Cas 2:
Lorsque ce patient, jeune retraité de 69 ans, vient nous consulter, il nous déclare avoir « des problèmes aux dents du bas ». Le cliché panoramique révèle en effet une parodontite agressive à la mandibule. Il est rapidement décidé l’extractions de toutes les dents mandibulaires et confection d‘une prothèse amovible d’attente.
Au maxillaire postérieur, il est programmé un comblement sinusien et la pose de deux implants et ce, de chaque côté. Le cliché panoramique post-opératoire est ici présenté.
L’étude implantaire permet la confection d‘un guide chirurgical pour la pose de 6 implants mandibulaires.
Le bridge provisoire sera confectionné et vissé en fin de chirurgie implantaire.
Aspect du bridge provisoire en PMMA avant les empreintes pour le bridge d‘usage.
Aspect du bridge d’usage en titane usiné avec dents en résine de haute qualité.
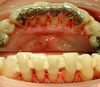
Vue occlusale avant le vissage du bridge d‘usage.
Le cliché panoramique de contrôle permet de valider l’ajustage des pièces de titane entre elles (piliers/implants et armature/piliers).
Vue intraorale. Contrôle de l’occlusion et du passage des brossettes iner-implantaires.
Vue du sourire.
- Cas 3:
Ce patient de 75ans se présente au cabinet avec deux prothèses amovibles anciennes, instables et abîmées. Il souhaite pouvoir manger normalement. Il est pris en charge immédiatement et l’étude implantaire est réalisée.
Un guide chirurgical permet de poser 5 implants mandibulaires sans décoller la gencive, ce qui permet d’éviter les suites douloureuses au patient.
Le bridge provisoire est relié aux implants en fin de chirurgie.
Le patient porte son bridge provisoire mandibulaire transvissé sur 5 implants pendant 6 mois. Son ancienne prothèse maxillaire a été réparée.
La nouvelle prothèse amovible maxillaire est renforcée par une armature métallique.
RESULTAT FINAL : Le patient porte un bridge mandibulaire fixe qui vient rencontrer une prothèse amovible maxillaire. La confection d’un bridge maxillaire transvissé en remplacement de la prothèse amovible est prévue dans quelques années afin d’étaler les frais dans le temps.
- Cas 4:
La prothèse maxillaire ANTAGONISTE du bridge fixe complet mandibulaire sur implants doit idéalement être renforcée car les forces masticatoires nouvellement développées sont nettement supérieures dès lors que le patient reçoit son bridge sur implants.
Le patient remange des aliments durs et la prothèse maxillaire ANTAGONISTE doit être renforcée pour résister. La plaque métallique ajourée de renfort a été réalisée et coulée sur mesure.
- Cas n°5:
Le patient âgé de 70 ans a porté une attelle de contention parodontale pendant plusieurs années pour diminuer la mobilité de ses incisives mandibulaires.
Le cliché panoramique montre les effets d’une parodontite agressive chez le fumeur sur le tissu de soutien osseux. Les dents sont perdues à court terme.
Le patient a cessé de fumer pour devenir candidat aux implants. Il souhaite une solution fixe. Un bridge complet transvissé mandibulaires sur 5 implants lui est proposé. Un guide chirurgical et une maquette en cire sont confectionnés.
Le cliché panoramique montre le bon ajustage de l’armature en titane usinée par CFAO du bridge complet d’usage sur les 5 implants.
Des tunnels sous la fausse gencive sont créés pour le passage des brossettes inter-implantaires.
La solution fixe mandibulaire est satisfaisante également d’un point de vue esthétique. Le patient porte une prothèse adjointe totale maxillaire renforcée. Il est vu régulièrement en maintenance implantaire. La solution du bridge complet sur implants au maxillaire s’offre également à lui.
- Cas 6:
Cliché de contrôle à 13 ans et demi. La patiente se passe les brossettes entre les implants après chaque repas. Les volumes osseux sont stables et le bridge complet transvissé est toujours parfaitement opérationnel.
- Cas 7:
- Cas 8:
Le patient d’une quarantaine d’année, gros fumeur, se présente au cabinet avec une atteinte parodontale terminale. Ses dents ne sont pas conservables et le patient souhaite une solution implantaire fixe. Il voudrait deux bridges complets sur implants mais pour une raison financière, il opte dans un premier temps pour un bridge complet à la mandibule et une prothèse amovible maxillaire. Dans quelques années, il reviendra se faire confectionner un bridge complet maxillaire fixe.
Le bridge provisoire est confectionné en fin de chirurgie implantaire.
Sourire avec le bridge sur implants provisoire à la mandibule et une prothèse amovible complète provisoire au maxillaire.
6 mois après la pose des implants et du bridge provisoire, de nouvelles empreintes optiques sont réalisées et une maquette esthétique (TRY IN) est confectionnée et valide le projet final.
La prothèse adjointe maxillaire d’usage est renforcée dans la masse pour résister aux forces masticatoires permises par le bridge complet sur implants.
Le bridge d’usage est constitué de titane usiné en partie inférieure et...
…de dents en résine de hautes esthétique et mécanique en partie supérieure.
Vue intrabuccale de face avec le bridge complet mandibulaire d’usage et la prothèse adjointe maxillaire d’usage renforcée.
Vue intrabuccale droite
Vue intrabuccale gauche
Aspect du visage
Sourire de face. Le patient sera revu dans 6 mois puis dans deux ans puis pour confectionner son bridge complet sur implants au maxillaire.
