IMPLANTOLOGIE : LES BRIDGES FIXES PARTIELS
- Cas 1
AVANT
AVANT1 Un bridge sur dents naturelles se descelle de plus en plus souvent. Les racines naturelles sont ramollies par la carie dentaire
AVANT2 Deux fistules signant deux infections chroniques sont visibles.
AVANT3 Le cliché panoramique montre la perte de substance sous les tenons et les couronnes, ce qui explique les descellements intempestifs
APRES
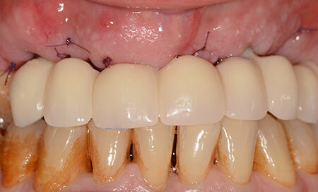
Le bridge fixe provisoire sur 4 implants est remis au patient 5 jours après la chirurgie d’extraction-implantation immédiate complétée par des régénérations osseuses guidées.
Les fistules infectieuses commencent à disparaître et l’aspect gingival est satisfaisant. Les dents mandibulaires sont teintées par la chlorhéxidine prescrite après la chirurgie.
Le cliché panoramique montre les 4 implants répartis dans le prémaxillaire. Le bridge provisoire sera porté 6 mois jusqu’à la parfaite cicatrisation gingivale et osseuse. Un bridge d’usage transvissé démontable pourra alors être confectionné.
