- Cas 1: Incisive centrale


- Cas 2: Incisive centrale



- Cas 3: Incisive latérale


- Cas 4: Incisive latérale


- Cas 5: incisive latérale et d’une canine

L’incisive centrale droite est mobile et disgracieuse. Les dents voisines du patient sont colorées et porteuses d’anciennes résines.

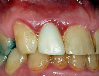
L’incisive latérale droite est porteuse d’un kyste important. Une maladie parodontale chronique généralisée génère des mobilités dentaires et des saignements gingivaux.

Le traitement parodontal non chirurgical a stabilisé la maladie parodontale et a permis la pose de deux implants en sites de deux incisives et de facettes sur les dents voisines.

Le patient a retrouvé l’esthétique de son sourire et le confort.