PARODONTOLOGIE: LES GREFFES GINGIVALES
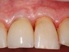
Cas 1
Un brossage excessif sur des gencives de faible épaisseur est souvent la cause des dénudations radiculaires traumatiques.
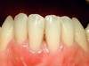
Cas 2
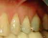
Cas 3
Cas 4
Une greffe gingivale est souvent réalisée dans le même temps opératoire que la pose de l'implant dans les secteurs esthétiques afin de regonfler les tissus mous et redonner une symétrie au sourire
Cas 5
