PARODONTOLOGIE: PARODONTITE CHRONIQUE GÉNÉRALISÉE
Cas 1
Cas 2
L’incisive centrale droite est mobile et disgracieuse. Les dents voisines du patient sont colorées et porteuses d’anciennes résines.
L’incisive latérale droite est porteuse d’un kyste important. Une maladie parodontale chronique généralisée génère des mobilités dentaires et des saignements gingivaux.
Le traitement parodontal non chirurgical a stabilisé la maladie parodontale et a permis la pose de deux implants en sites de deux incisives et de facettes sur les dents voisines.
Le patient a retrouvé l’esthétique de son sourire et le confort.
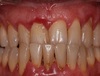
Cas 3
La gingivorragie (saignement des gencives) est un signe d’activité de la maladie parodontale et pousse le patient à consulter un parodontologiste.
Un traitement parodontal simple, non chirurgical et ultrasonique, permet de guérir la très grande majorité des maladies parodontales.
Cas 4
Le patient a 52 ans et il s’est usé les dents avec une brosse-à-dent très dure. Il a pensé bien faire en buvant beaucoup de jus de citron et en se faisant des bains -de-bouche à la chlorhéxidine. Nous sommes face à une abrasion d’origine mécanique et chimique et à des colorations dentaires d’origine médicamenteuse.
Des images photographiques en 2D et des images en 3D ont été couplées pour concevoir la réhabilitation un sourire et la proposer au patient.
L’occlusion (rencontre des dents) est optimisée.
Résultat final. A l’aide d’un jeu de maquettes et d’usinage, les restaurations respectent le projet initial.
