Greffe du sinus
La greffe de sinus a permis de réhabiliter ce patient avec une solution fixe
Greffe de sinus, comblement sinusien, sinus lift, élévation sinusienne, élévation du bas fond sinusien, tous ces termes sont synonymes. Ils désignent le geste consistant à apporter une poudre d’os dans le sinus maxillaire afin de permettre la pose d’un ou plusieurs implants.
Une membrane de PRF ou de collagène porcin est utilisée pour coffrer la poudre d’os d’origine humaine placée dans le sinus maxillaire.
Hormis les cas de bridges complets maxillaires sur implants pour lesquels les comblements sinusiens sont réalisés 6 mois avant la pose des implants, les implants sont posés dans le même temps opératoires que la greffe de sinus.
Les taux de succès de 94-97% du sinus lift sont proches des taux de succès implantaires et combinés, ils sont de l’ordre de 95% .
AVANT : la maladie parodontale a entraîné la perte de toutes les dents maxillaires
APRES : la greffe des deux sinus maxillaires a permis au patient de bénéficier d’une solution FIXE sur 8 implants.
Implantologie: le comblement sinusien maxillaire
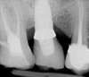
Cas 1: Le comblement sinusien maxillaire consiste à créer un volume osseux dans le sinus maxillaire pour y ancrer des implants.
Une poudre d’os est placée pour combler le sinus maxillaire et permettre la pose d’implants.
Des membranes de PRF sont placées pour épaissir la muqueuse sinusienne et refermer la fenêtre et recouvrir les implants enfouis. Après l’extraction des prémolaires et molaires maxillaires, un comblement sinusien est nécessaire une fois sur deux pour poser des implants de 10 mm de longueur.
AVANT
APRES
Cas 2: vues panoramiques
AVANT REHABILITATION
PENDANT REHABILITATION 3 SECTEURS MOLAIRES
APRES REHABILITATION 3 SECTEURS MOLAIRES
Cas 3: Intérêt du comblement sinusien dans l'édentement unitaire
Cas 4: Intérêt du comblement sinusien dans l'édentement plural
Cas 5: Intérêt du comblement sinusien dans l'édentement complet
Cas 6 : intérêt du comblement sinusien dans l’édentement complet
Le comblement sinusien bimaxillaire permettra dans 6 mois la pose d’un bridge complet maxillaire transvissé sur 8 implants.
Cas 7 : La chirurgie étape par étape du comblement sinusien
Chez cette patiente de 76 ans, une dent pilier de bridge s’est fracturée et n’est plus conservable.
Le bridge a été fraisé pour conserver les prémolaires. La deuxième molaire fracturée, pilier du bridge, a été extraite. La troisième molaire est conservée.
La simulation logicielle en 3D montre le projet implantaire.
La chirurgie commence par le décollement de la membrane naturelle qui tapisse le sinus maxillaire.
Une membrane animale d’origine porcine est apposée sur la membrane naturelle pour la renforcer et la protéger avant le comblement du sinus.
Le sinus maxillaire est comblé avec une poudre d’os d’origine humaine.
Une seconde membrane animale d’origine porcine est apposée sur la fenêtre pour contenir les 5 cm3 de poudre d’os qui comblent dorénavant le bas du sinus maxillaire pour accueillir deux implants.
Une suture étanche termine la chirurgie qui a duré 1 heure et 40 minutes.
L’image radiologique post-opératoire montre les deux implants ancrés dans la poudre d’os qui a servi à combler le sinus maxillaire.
L’image en 3 dimensions indique que la hauteur disponible d’os est de 7 mm
La simulation implantaire indique que la hauteur d’os à gagner est de 3 mm pour placer un implant de 10 mm
L’image 3D de contrôle post-opératoire montre le gain obtenu par le soulèvement sinusien
