Dr David MINIÈRE, parodontologie - implantologie - esthétique dentaire à ROUEN
ACCUEIL
CABINET
LE CABINET EN IMAGES
L'EQUIPE
ACCES
PROTHESISTES PARTENAIRES
DR MINIÈRE
DE PERE EN FILS...
FORMATION
EXPERIENCE PROFESSIONNELLE
PUBLICATION
NOS VALEURS
PHILOSOPHIE DE TRAITEMENT
CONFORT ET INFORMATION
SECURITE ET QUALITE
TUTORIELS
PARODONTOLOGIE
IMPLANTOLOGIE
CAS CLINIQUES
PARODONTOLOGIE
IMPLANTOLOGIE
DENTISTERIE ESTHÉTIQUE
GREFFE DU SINUS
INFO PATIENT
PARODONTOLOGIE
IMPLANTOLOGIE
GREFFE DE SINUS
DENTISTERIE ESTHETIQUE
LES DENTS CHEZ L'ADULTE ET LE SENIOR
59 Rue Bouquet, 76000 ROUEN
+33 2 35 71 32 59
Dr David MINIÈRE, parodontologie - implantologie - esthétique dentaire à ROUEN
ACCUEIL
CABINET
LE CABINET EN IMAGES
L'EQUIPE
ACCES
PROTHESISTES PARTENAIRES
DR MINIÈRE
DE PERE EN FILS...
FORMATION
EXPERIENCE PROFESSIONNELLE
PUBLICATION
NOS VALEURS
PHILOSOPHIE DE TRAITEMENT
CONFORT ET INFORMATION
SECURITE ET QUALITE
TUTORIELS
PARODONTOLOGIE
IMPLANTOLOGIE
CAS CLINIQUES
PARODONTOLOGIE
IMPLANTOLOGIE
DENTISTERIE ESTHÉTIQUE
GREFFE DU SINUS
INFO PATIENT
PARODONTOLOGIE
IMPLANTOLOGIE
GREFFE DE SINUS
DENTISTERIE ESTHETIQUE
LES DENTS CHEZ L'ADULTE ET LE SENIOR
Blog - Page 6
PARODONTOLOGIE: TRAITEMENT PARODONTAL NON CHIRURGICAL
.
EN SAVOIR PLUS
DENTISTERIE ESTHÉTIQUE : FÊLURES ET FRACTURES DENTAIRES : CE QU'IL FAUT SAVOIR
.
EN SAVOIR PLUS
PARODONTOLOGIE: LES FREINECTOMIES
.
EN SAVOIR PLUS
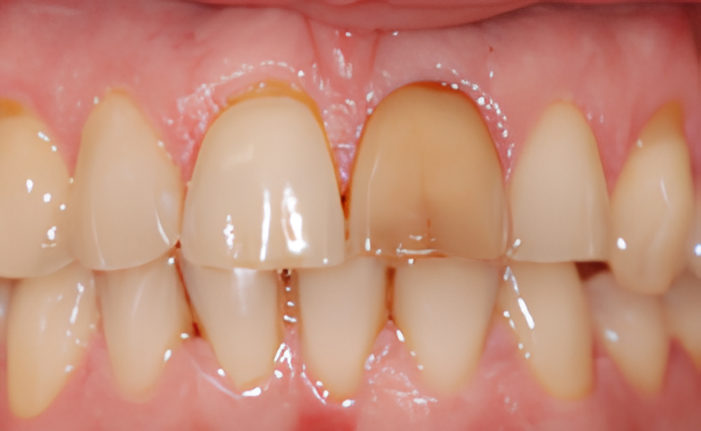
DENTISTERIE ESTHÉTIQUE : FÊLURE ET FRACTURE DENTAIRE : STADE 1
.
EN SAVOIR PLUS
PARODONTOLOGIE: LES ALLONGEMENTS CORONAIRES
.
EN SAVOIR PLUS
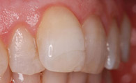
DENTISTERIE ESTHÉTIQUE : FÊLURE ET FRACTURE DENTAIRE : STADE 2
.
EN SAVOIR PLUS
Affichage des articles 31-36 sur 188
‹
1
2
3
4
5
6
7
8
9
10
…
31
32
›
Découvrez notre collection de fiches pédagogiques
Conseils
La parodontologie
L'implantologie
Greffe de sinus
Les choix esthétiques
Les dents chez l'adulte et les séniors
Les dents de l'enfance à l'adolescence
Les dents et la santé
Prendre soin des dents
Les pathologies bucco-dentaires
Informations pratiques
L'équipement du cabinet dentaire
Publications
Cas cliniques
L'implantologie - Cas cliniques
La parodontologie - Cas cliniques
Greffe du sinus cas cliniques
Dentisterie esthétique - Cas cliniques
Liens
Politique de confidentialité et charte cookie
Mentions légales
Conditions Générales Utilisation
Charte déontologique
Ordre national
Annuaires chirurgiens dentistes
En savoir +
Hygiène & Asepsie
Honoraire & remboursement
Rechercher
Création par
Connexion