Dr David MINIÈRE, parodontologie - implantologie - esthétique dentaire à ROUEN
59 Rue Bouquet, 76000 ROUEN
+33 2 35 71 32 59
Dr David MINIÈRE, parodontologie - implantologie - esthétique dentaire à ROUEN

Blog - Page 7

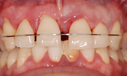
PARODONTOLOGIE: LES ATTELLES EN PARODONTOLOGIE

PARODONTOLOGIE: LES ATTELLES EN PARODONTOLOGIE

.

IMPLANTOLOGIE: LA SIMULATION IMPLANTAIRE POUR UN GUIDAGE CHIRURGICAL OPTIMAL

IMPLANTOLOGIE: LA SIMULATION IMPLANTAIRE POUR UN GUIDAGE CHIRURGICAL OPTIMAL

.

DENTISTERIE ESTHÉTIQUE : FÊLURE ET FRACTURE DENTAIRE : STADE 3

DENTISTERIE ESTHÉTIQUE : FÊLURE ET FRACTURE DENTAIRE : STADE 3

Dentisterie esthétique : fêlure et fracture dentaire : stade 3

PARODONTOLOGIE: COMBINAISON AVEC L'ORTHODONTIE

PARODONTOLOGIE: COMBINAISON AVEC L'ORTHODONTIE

.

IMPLANTOLOGIE: L'ÉLARGISSEMENT DE CRÊTE OSSEUSE : LA RÉGÉNÉRATION OSSEUSE GUIDÉE (R.O.G.)

IMPLANTOLOGIE: L'ÉLARGISSEMENT DE CRÊTE OSSEUSE : LA RÉGÉNÉRATION OSSEUSE GUIDÉE (R.O.G.)

.

DENTISTERIE ESTHÉTIQUE : FÊLURE ET FRACTURE DENTAIRE : STADE 4

DENTISTERIE ESTHÉTIQUE : FÊLURE ET FRACTURE DENTAIRE : STADE 4

Dentisterie esthétique : fêlure et fracture dentaire : stade 4

Affichage des articles 37-42 sur 188

Création par Webdentiste

Connexion