Dentisterie esthétique : fêlure et fracture dentaire : stade 4
Blog - Page 8
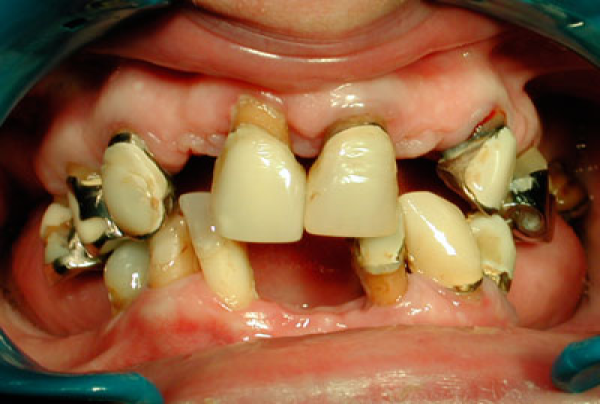
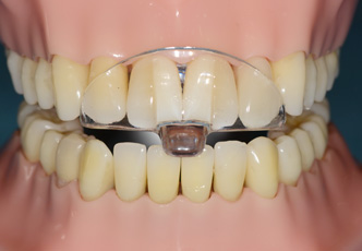
Dentisterie esthétique : réhabilitation traditionnelle non implantaire
Dentisterie esthétique : gestion esthétique de l'usure dentaire généralisée
Affichage des articles 43-48 sur 189
Découvrez notre collection de fiches pédagogiques
Conseils
Cas cliniques






