Dr David MINIÈRE, parodontologie - implantologie - esthétique dentaire à ROUEN
59 Rue Bouquet, 76000 ROUEN
+33 2 35 71 32 59
Dr David MINIÈRE, parodontologie - implantologie - esthétique dentaire à ROUEN

IMPLANTOLOGIE

IMPLANTOLOGIE : LES BRIDGES FIXES COMPLETS BIMAXILLAIRES

IMPLANTOLOGIE : LES BRIDGES FIXES COMPLETS BIMAXILLAIRES

.

IMPLANTOLOGIE: LES BRIDGES FIXES COMPLETS AU MAXILLAIRE

IMPLANTOLOGIE: LES BRIDGES FIXES COMPLETS AU MAXILLAIRE

.

IMPLANTOLOGIE : LES BRIDGES FIXES COMPLETS MANDIBULAIRES

IMPLANTOLOGIE : LES BRIDGES FIXES COMPLETS MANDIBULAIRES

.

IMPLANTOLOGIE: LES PROTHÈSES AMOVIBLES STABILISÉES SUR DES BOUTONS-PRESSION

IMPLANTOLOGIE: LES PROTHÈSES AMOVIBLES STABILISÉES SUR DES BOUTONS-PRESSION

.

IMPLANTOLOGIE : LA CHIRUGIE GUIDEE

IMPLANTOLOGIE : LA CHIRUGIE GUIDEE

IMPLANTOLOGIE : LA CHIRUGIE GUIDEE

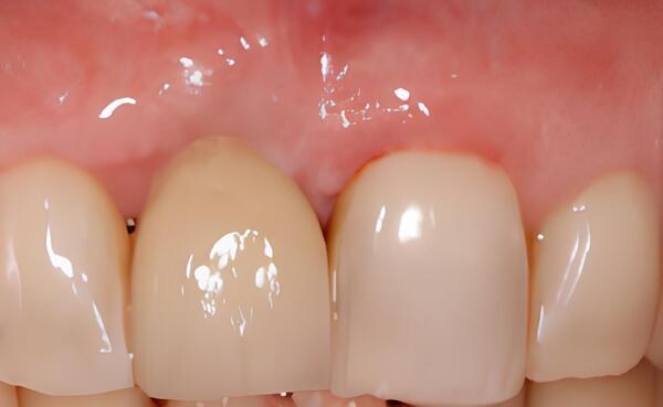
IMPLANTOLOGIE: LES IMPLANTS DANS LE SECTEUR ESTHÉTIQUE

IMPLANTOLOGIE: LES IMPLANTS DANS LE SECTEUR ESTHÉTIQUE

.

Les implants courts

IMPLANTOLOGIE : LES IMPLANTS COURTS

IMPLANTOLOGIE : LES BRIDGES FIXES PARTIELS

IMPLANTOLOGIE : LES BRIDGES FIXES PARTIELS

.

IMPLANTATION: QUE FAIRE PENDANT L'OSTÉOINTÉGRATION ?

IMPLANTATION: QUE FAIRE PENDANT L'OSTÉOINTÉGRATION ?

IMPLANTOLOGIE: LA SIMULATION IMPLANTAIRE POUR UN GUIDAGE CHIRURGICAL OPTIMAL

IMPLANTOLOGIE: LA SIMULATION IMPLANTAIRE POUR UN GUIDAGE CHIRURGICAL OPTIMAL

.

IMPLANTOLOGIE: L'ÉLARGISSEMENT DE CRÊTE OSSEUSE : LA RÉGÉNÉRATION OSSEUSE GUIDÉE (R.O.G.)

IMPLANTOLOGIE: L'ÉLARGISSEMENT DE CRÊTE OSSEUSE : LA RÉGÉNÉRATION OSSEUSE GUIDÉE (R.O.G.)

.

IMPLANTOLOGIE: IMPORTANCE DE L'HYGIÈNE INTER-IMPLANTAIRE PERSONNELLE ET QUOTIDIENNE

IMPLANTOLOGIE: IMPORTANCE DE L'HYGIÈNE INTER-IMPLANTAIRE PERSONNELLE ET QUOTIDIENNE

Dr David Minière.

IMPLANTOLOGIE: GREFFE CONJONCTIVE ENFOUIE LORS D’UNE IMPLANTATION

IMPLANTOLOGIE: GREFFE CONJONCTIVE ENFOUIE LORS D’UNE IMPLANTATION

.

IMPLANTOLOGIE: LE COMBLEMENT SINUSIEN MAXILLAIRE

IMPLANTOLOGIE: LE COMBLEMENT SINUSIEN MAXILLAIRE

.

IMPLANTOLOGIE : DANS QUELS CAS IMPLANTER ?

IMPLANTOLOGIE : DANS QUELS CAS IMPLANTER ?

.

IMPLANTOLOGIE: L'USINAGE DES ARMATURES TITANE ET ZIRCONE DES SYSTÈMES PROCERA ET SIMEDA

IMPLANTOLOGIE: L'USINAGE DES ARMATURES TITANE ET ZIRCONE DES SYSTÈMES PROCERA ET SIMEDA

.

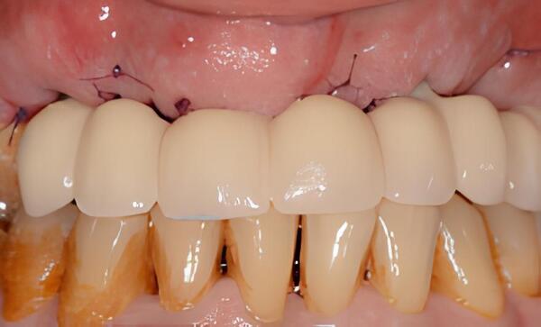
IMPLANTOLOGIE : CAS ESTHÉTIQUES COMPLEXES

IMPLANTOLOGIE : CAS ESTHÉTIQUES COMPLEXES

.

IMPLANTOLOGIE: EXTRACTION-IMPLANTATION IMMÉDIATE

IMPLANTOLOGIE: EXTRACTION-IMPLANTATION IMMÉDIATE

.

IMPLANTOLOGIE : PRÉVENTION DU BRUXISME

IMPLANTOLOGIE : PRÉVENTION DU BRUXISME

.

IMPLANTOLOGIE : LA PÉRI-IMPLANTITE, COMPLICATION CLASSIQUE À TRAITER SANS TARDER

IMPLANTOLOGIE : LA PÉRI-IMPLANTITE, COMPLICATION CLASSIQUE À TRAITER SANS TARDER

.

IMPLANTOLOGIE : CAS COMBINÉS AVEC L'ORTHODONTIE

IMPLANTOLOGIE : CAS COMBINÉS AVEC L'ORTHODONTIE

.

IMPLANTOLOGIE: MAINTENANCE IMPLANTAIRE PROFESSIONNELLE

IMPLANTOLOGIE: MAINTENANCE IMPLANTAIRE PROFESSIONNELLE

Dr David Minère

IMPLANTOLOGIE : CAS COMBINÉS COMPLEXES

IMPLANTOLOGIE : CAS COMBINÉS COMPLEXES

.

Création par Webdentiste

Connexion